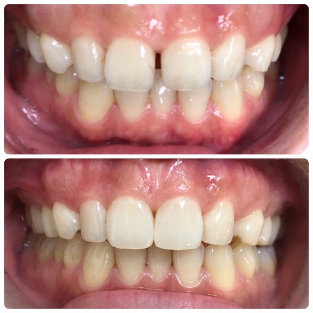
セラミッククラウンやラミネートべニアと異なり、歯の削る量が極めて少ないです。
多少の歯の厚みが気にならないのであれば、歯を全く削らずに修復することも可能です。その場合、治療後に元の歯に戻すことが可能です。











セラミッククラウンやラミネートべニアと異なり、歯の削る量が極めて少ないです。
多少の歯の厚みが気にならないのであれば、歯を全く削らずに修復することも可能です。その場合、治療後に元の歯に戻すことが可能です。


セラミッククラウンやラミネートべニアと異なり、歯の削る量が極めて少ないです。
多少の歯の厚みが気にならないのであれば、歯を全く削らずに修復することも可能です。その場合、治療後に元の歯に戻すことが可能です。


セラミッククラウンやラミネートべニアと異なり、歯の削る量が極めて少ないです。
多少の歯の厚みが気にならないのであれば、歯を全く削らずに修復することも可能です。その場合、治療後に元の歯に戻すことが可能です。

〒467-0064
名古屋市瑞穂区弥富通3-45-5 [MAP →]
TEL.052-837-5255
最寄り駅. 地下鉄名城線 瑞穂運動場東
休診日. 木曜・日曜・祝祭日
診療時間.
[平日]9:00〜12:00/13:30〜18:00
[土曜]9:00〜12:00/13:30〜17:00
24時間無料メール相談 →